Understanding neural control of movement and developing new therapeutic approaches
Our research focuses on deepening our current understanding of how movement is neurally controlled by the human spinal cord. At the basic science level, we are particularly interested in characterizing movement generators, known as locomotor circuits, in the human spinal cord - neuronal networks that have so far only been clearly identified in animals.
We use this knowledge to develop new rehabilitation strategies for people with movement disorders caused by diseases or injuries of the central nervous system (CNS). Our focus is on neuromodulatory approaches - methods that enhance the (residual) function of the CNS.
For our scientific and clinical work, we combine expertise from different disciplines - from neurotechnology and neuroanatomy to electrophysiology and computational neuroscience and beyond. We offer interested students from different disciplines the opportunity to participate in an ever-growing, dynamic and clinically relevant research field through internships and theses.
Our motivation: To improve motor function in people with CNS disorders or injuries and improve their quality of life.
Our contributions:
In the field of neuroscience:
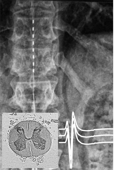
- Neuroanatomical studies of receptor expression and specific neuronal cell types in the human spinal cord
- Characterization of spinal reflexes
- Characterization of locomotor circuits in the human spinal cord
- Establishment of a scientific framework of electrical spinal cord stimulation
- Studies of the interaction between electrical neuromodulation and spinal cord circuits
Development of new methods
- Pioneers in the development of transcutaneous spinal cord stimulation
- Pioneers in studies of epidural spinal cord stimulation in individuals with spinal cord injury
In clinical trials:
- Testing spinal cord stimulation in clinical trials with national and international partners in people with intact CNS and in people with movement disorders resulting from CNS injury and disease.
- First demonstration of the efficacy of transcutaneous spinal cord stimulation for spasticity control and enhancing residual motor function in people with spinal cord injury and multiple sclerosis.
Research Area
Team members
Principal Investigators
Ursula Hofstötter
P +43 (0)1 40400-19720
Karen Minassian
P +43 (0)1 40400-19720
Members
- Anela Adilovic
- Aymeric Bayart
- Thibault Deslandes
- Natalie Fehringer
- Alba Gumbardhi
- Carmen Haider
- Leon Hummel-Haubensack
- Selma Jakupovic
- Alexander Miller-Michlits
- Daniel Müller
- Ivan Perret
- Lena Scharmitzer
- The human central pattern generator for locomotion: Identification of its key neurons, monoaminergic receptor expression, and structural plasticity following spinal cord injury (2023)
Friedrich Flick Förderungsstiftung through Wings for Life - The catecholaminergic system of the human spinal cord and its alterations after spinal cord injury (2021)
FWF (Austrian Science Fund) - Carry-over Effects of Transcutaneous Spinal Cord Stimulation for Spasticity in Spinal Cord Injury: Underlying Mechanisms (2018)
FWF (Austrian Science Fund), Joint Project with SNF (Swiss National Science Foundation) - Nicht-invasive Rückenmarkstimulation zur Spastiklinderung und Mobilitätsförderung bei Multipler Sklerose: Pilotstudie (2017)
OeGNR (Österreichische Gesellschaft für Neurorehabilitation) - Intelligente Transkutane Rückenmarkstimulation (2017)
Bundesministerium für Wirtschaft und Energie (Deutschland)
Selected peer-reviewed publications
- Minassian K, Freundl B, Lackner P, Hofstoetter US. Transcutaneous spinal cord stimulation neuromodulates pre- and postsynaptic inhibition in the control of spinal spasticity. Cell Rep Med. 2024 Nov 19;5(11):101805. doi: 10.1016/j.xcrm.2024.101805. Epub 2024 Nov 11. PMID: 39532101; PMCID: PMC11604492.
- Kathe C, Skinnider MA, Hutson TH, Regazzi N, Gautier M, Demesmaeker R, Komi S, Ceto S, James ND, Cho N, Baud L, Galan K, Matson KJE, Rowald A, Kim K, Wang R, Minassian K, Prior JO, Asboth L, Barraud Q, Lacour SP, Levine AJ, Wagner F, Bloch J, Squair JW, Courtine G. The neurons that restore walking after paralysis. Nature. 2022 Nov;611(7936):540-547. doi: 10.1038/s41586-022-05385-7. Epub 2022 Nov 9. PMID: 36352232; PMCID: PMC9668750.
- Minassian K, Bayart A, Lackner P, Binder H, Freundl B, Hofstoetter US. Rare phenomena of central rhythm and pattern generation in a case of complete spinal cord injury. Nat Commun. 2023 Jun 6;14(1):3276. PMID: 37280242.
- Rowald A, Komi S, Demesmaeker R, Baaklini E, Hernandez-Charpak SD, Paoles E, Montanaro H, Cassara A, Becce F, Lloyd B, Newton T, Ravier J, Kinany N, D'Ercole M, Paley A, Hankov N, Varescon C, McCracken L, Vat M, Caban M, Watrin A, Jacquet C, Bole-Feysot L, Harte C, Lorach H, Galvez A, Tschopp M, Herrmann N, Wacker M, Geernaert L, Fodor I, Radevich V, Van Den Keybus K, Eberle G, Pralong E, Roulet M, Ledoux JB, Fornari E, Mandija S, Mattera L, Martuzzi R, Nazarian B, Benkler S, Callegari S, Greiner N, Fuhrer B, Froeling M, Buse N, Denison T, Buschman R, Wende C, Ganty D, Bakker J, Delattre V, Lambert H, Minassian K, van den Berg CAT, Kavounoudias A, Micera S, Van De Ville D, Barraud Q, Kurt E, Kuster N, Neufeld E, Capogrosso M, Asboth L, Wagner FB, Bloch J, Courtine G. Activity-dependent spinal cord neuromodulation rapidly restores trunk and leg motor functions after complete paralysis. Nat Med. 2022 Feb;28(2):260-271. Epub 2022 Feb 7. PMID: 35132264.
- Hofstoetter U,Danner S, Freundl B, Binder H, Lackner P, Minassian K, 2021. Ipsi- and Contralateral Oligo- and Polysynaptic Reflexes in Humans Revealed by Low-Frequency Epidural Electrical Stimulation of the Lumbar Spinal Cord. Brain Sci, 11:112.
- Hofstoetter U, Perret I, Bayart A, Lackner P, Binder H, Freundl B , Minassian K, 2020. Spinal motor mapping by epidural stimulation of lumbosacral posterior roots in humans. iScience, 24:101930.
- Hofstoetter U, Freundl B, Danner S, Krenn M, Mayr W, Binder H, Minassian K, 2020. Transcutaneous Spinal Cord Stimulation Induces Temporary Attenuation of Spasticity in Individuals with Spinal Cord Injury. J Neurotrauma, 37(3):481-493.
- Hofstoetter U, Freundl B, Binder H, Minassian K, 2018. Common neural structures activated by epidural and transcutaneous lumbar spinal cord stimulation: Elicitation of posterior root-muscle reflexes. PLoS One, 13(1):e0192013.
- Minassian K, Hofstoetter US, Dzeladini F, Guertin PA, Ijspeert A., 2017. The Human Central Pattern Generator for Locomotion: Does It Exist and Contribute to Walking? Neuroscientist, 23(6):649-663.
- Hofstoetter U, Krenn M, Danner S, Hofer C, Kern H, McKay W, Mayr W, Minassian K, 2015. Augmentation of Voluntary Locomotor Activity by Transcutaneous Spinal Cord Stimulation in Motor-Incomplete Spinal Cord-Injured Individuals. Artif Organs, 39(10):E176-86.
- Danner S, Hofstoetter U, Freundl B, Binder H, Mayr W, Rattay F, Minassian K, 2015. Human spinal locomotor control is based on flexibly organized burst generators. Brain, 138(Pt 3):577-88.
Ursula Hofstoetter
-
is Associate editor, Frontiers in Neurology, section Neurorehabilitation
-
is member of the editorial board, Applied Sciences, section Applied Neuroscience and Neural Engineering
- Julius Fröhlich (2025). Deep Learning-Based Quantification of 5-HT2C Receptor Immunofluorescence-Labeling in Human Spinal Motoneurons. Diploma thesis (Master thesis), Vienna University of Technology, Austria.
- Anela Adilovic (2024). Catecholaminergic enzymatic machinery in the human spinal cord and its changes after injury. Master thesis, University of Vienna, Austria.
- Daniel Müller (2024). Groupwise registration of ex-vivo human spinal cord MRIs at high resolution. Bachelor thesis, University of Applied Sciences, Technikum Wien, Austria.
- Alba Gumbardhi (2024). Assessment of neurodegeneration in post-mortem human spinal cord tissue after spinal cord injury. Bachelor thesis, University of Applied Sciences, Technikum Wien, Austria.
- Thibault Deslandes (2024). Classification and analysis of rhythmic electromyographic activity in lower limb muscles in individuals with spinal cord injury elicited by epidural electrical stimulation. Diploma thesis (Master thesis), Vienna University of Technology, Austria.
- Alexander Lotz (2023). Construction of an in silico human spinal cord atlas for comparative analysis of immunolabelled neural substrates underlying motor control. Masters thesis, University of Applied Sciences, Technikum Wien, Austria.
- Natalie Fehringer (2023). Localization of noradrenergic alpha 2 receptor subtype alpha 2b and NET in the human spinal cord and dorsal root ganglia. Bachelor thesis, University of Applied Sciences, FH Wr Neustadt, Austria.
- Lena Scharmitzer (2023). Untersuchung von Motoneuronensäulen im lumbalen Rückenmark des Menschen mittels Cholinacetyltransferase Immunfärbung. Bachelor thesis, University of Applied Sciences, FH Campus Wien, Austria.